Causes of Gum Disease
Our mouths are full of bacteria from the foods we eat. This bacteria constantly builds-up throughout the day and becomes the sticky, colorless substance on our teeth we call "plaque."
If plaque is allowed to stay on the surface of your teeth for extended periods of time, it begins to harden into "tartar." Removing plaque from daily brushing will help prevent tartar from forming. Tartar is much more difficult to remove and allows the bacteria within to eat away at the surrounding tooth and gum tissues.
As bacteria that's allowed to sit along the gumline continues, it causes the gums to become inflamed and turn red. This is known as "gingivitis" and if left untreated, it can advance to "periodontitis," which is an inflammation around the tooth that starts to affect the bony tooth-support.
At this point, gums pull away from the tooth and form "pockets" that become infected. Plaque and tartar spread and grow below the gum line and break down the bone and connective tissue. If this cycle is left untreated, it will typically progress to the point where the tooth needs to be removed.
Daily brushing and flossing as well as regular visits to the dentist help keep plaque and tartar from causing issues associated from gingivitis and periodontitis.
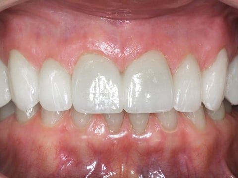
Healthy Gums
Healthy gums are generally pink and anchor the teeth firmly in place. Healthy gums do not bleed or hurt during normal brushing and flossing.
Early forms of gum disease can easily be treated and reversed with daily brushing and flossing and dental checkups every 6 months. Myers Pediatric Dentistry & Orthodontics can get you on your way to healthy gums. All you need to do is call Middleburg: (904) 505-2010 or Jacksonville: (904) 361-3370 or request an appointment online and come in for a visit. Your gums will be glad you did!
