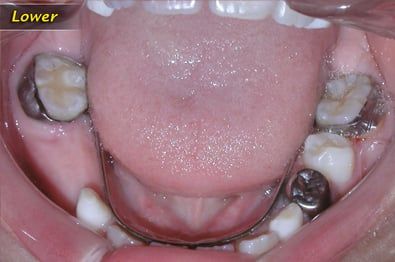
Lingual Arch
A lower lingual arch is a space maintainer for the lower teeth. It maintains the molars where they are and it does not move them. It keeps the molars from migrating forward and prevents them from blocking off space of teeth that develop later. Used when early loss of baby teeth or when lower teeth are slightly crowded.

Multi-Spring Appliance
Minor tooth movement may be necessary to position teeth properly as permanent teeth erupt during the growth process. In adults, minor tooth movement procedures in conjunction with restorative care can be used in many ways to enhance a patient's appearance.
This removable appliance is used to accomplish multiple tooth movements. The objective is to close the space between the front teeth, create room in the arch for the blocked out lateral teeth and guide them into place. To accomplish the numerous movements, springs are used to move the teeth and close the spaces.

Retainer
A gadget that the orthodontist gives you to wear after your braces are removed. The retainer attaches to your upper and/or lower teeth and holds them in the correct position. You wear the retainer 24 hours a day at first then at night to make sure that none of your teeth move while your jaw hardens and your teeth get strongly attached to your jaw.

Space Maintainer
A space maintainer is a removable or fixed appliance designed to maintain an existing space. They are usually fitted to children when they have lost baby teeth early. The gap left from losing this tooth needs to be held open for the permanent tooth to erupt in its correct position.

Spring Digitalizer
This appliance is indicated when one molar (an erupting six-year molar) is caught under the edge of a primary second molar. The appliance features a wire spring which is attached to the erupting molar and to the second molar. The spring provides the force to move the erupting molar into proper position.

Spring Hawley Retainer
After completing orthodontic therapy, it is not uncommon to still need a little fine tuning of tooth alignment. This is particularly true in patients who have undergone extensive orthodontic therapy and are simply "burned out."
This retainer is useful in correcting minor rotations and crowding. When worn, the spring action of the wires provide a light force to align the teeth. The appliance is constructed to the "ideal" setting and the patient's teeth adapt to their new position.
